
Trusted by Primary Care physicians for point-of-care imaging.
Primary care is a daily race against the clock. Tight appointment windows, growing patient volumes make every minute count.
Butterfly provides imaging when you need it, supporting clinical decision-making at the bedside and helping you stay focused on your patients during the visit.
Reduce reliance on outside imaging.

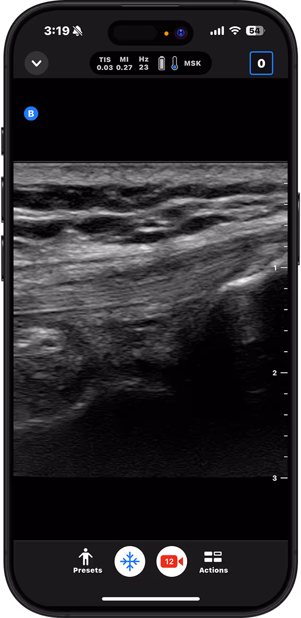
Identify joint effusions, guide aspirations, and differentiate cellulitis from abscess.

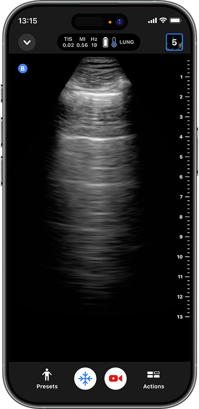
Perform bedside assessment for pneumonia, CHF, asthma exacerbation, or pneumothorax.

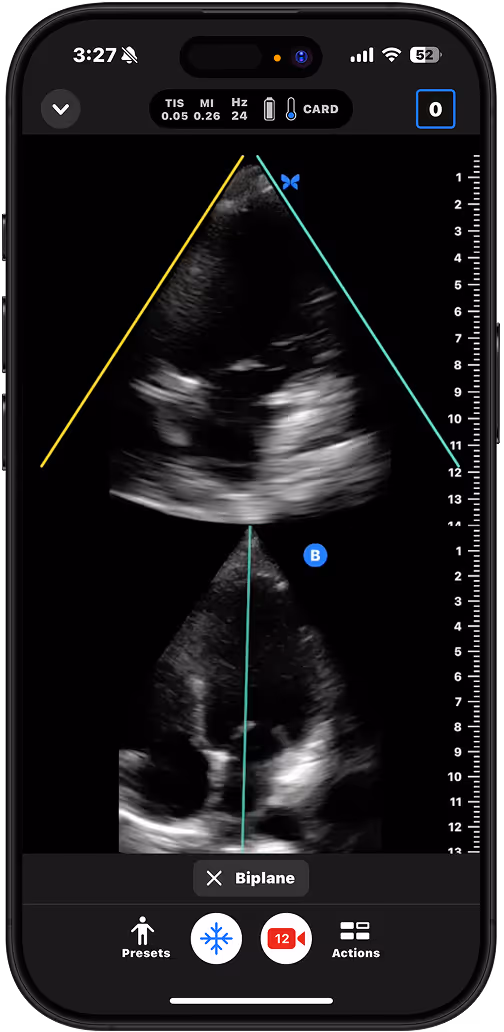
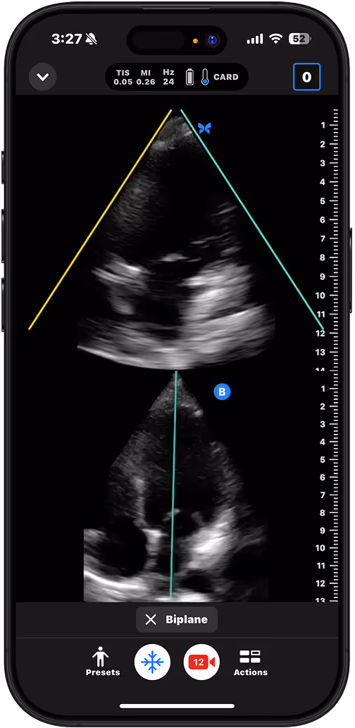
Assess for pericardial effusion or gross function in patients with chest pain or unexplained hypotension.

Calculate bladder volume to support urinary retention management.
Used by Primary Care teams nationwide.
“Having ultrasound in my pocket makes me a better doctor. It helps me answer clinical questions quickly and efficiently and helps me get the right treatment for my patients right away.”
Primary Care demands efficiency. Butterfly POCUS supports you at the point of care.



This isn’t theory. It’s clinical reality.

Long Aorta

Patellar Tendon

